Produkte unser Labor unser Team Startseite Bilder
Kontakt
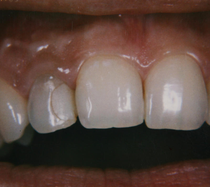
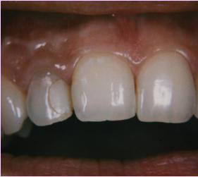
Vorher
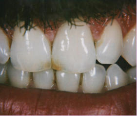
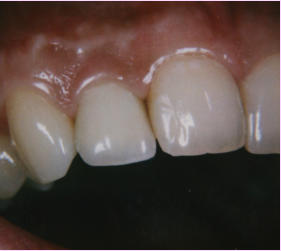
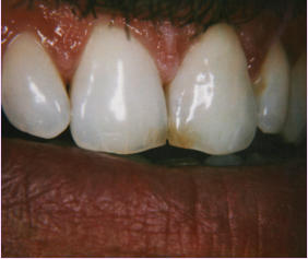
Nachher
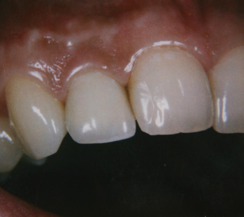
Verblendkrone 12 Gerüst Zirkonoxid Verblendmaterial Creation Geller
Verblendkrone 21 Gerüst Zirkonoxid Verblendmaterial Creation Geller
unser Labor
unser Team
Kontakt
Produkte